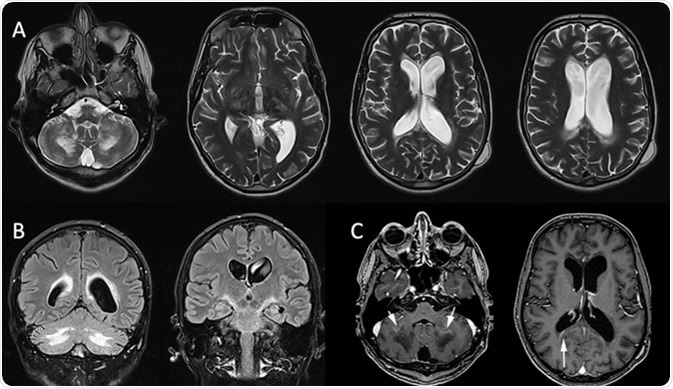
Cerebral Adrenomyeloneuropathy

This one is not such a cheerful installment. I am aware that I promised that the content of this website would be optimistic and upbeat. Nonetheless, as we all know, the potential for cerebral involvement is part of the bargain. I do not plan to dwell on it, but it is a big deal for those afflicted. It would be irresponsible to pretend it did not exist. I am not at all an authority figure on this topic, I can only share the interactions with my brother and cousin. I am guessing that everyone’s story could be far different.

My brother Todd and cousin Chris both appeared to have the nasty variant- AMN with cerebral involvement. Seemingly normal during childhood, these guys developed novel behavior patters as they grew older. I spent more time with Todd, so I can use his demise as an example. At first, he just seemed a bit off and mainly nasty. Mean enough to make him unwelcome at most of the assisted living facilities where he resided. Physically, although a few years older, he was better off than me. Still, over time, he got wobbly on his feet, moving from a walker to a wheel chair.

Next up, what he was saying stopped making much sense. One time I visited Todd, he was cursing mom up and down for locking him up at Forest. Forest was a psychiatric hospital with a substance abuse rehabilitation facility. At one point during his teen years, mom had a go at it, thinking that maybe it might help. It did not. In fact, there was some sort of escape involved. This jail break-like story became another part of family lore. As if it were funny.

He never was able to forgive mom for locking him up. He used this as a defensive cudgel from time to time when she got too close with her threats. I expect that while this theme had not made the rounds in years, when things go awry in the brain, memories get shuffled around, with old ideas rising to the top for new consideration.

Forest was just a part of the adventure. Todd’s newly untethered mind led him to many other destinations. There was a lot of talk about life at the old Boy Scout Cabin. This cottage was just another of the strange anomalies of the town that I grew up in. While at the time, it seemed perfectly normal, what it really was, was a derelict old shack. A good place for teens to hide out and get high. I am not aware of any other purpose besides occupying Todd’s technicolor imagination. It was strange how it worked. Just when you thought that he was making sense, getting his feet back on the ground, he would get a little anxious, hastily leaving the room, explaining that he needed to get back to the Boy Scout Cabin before dark. It was hard to understand.

As mom told it, the main theme for a while was how much he hated it wherever he was, and how she had to get him out and into an apartment. He was certain that he had what it took to make it on his own. Mom hypothesized that he only remembered when he was well, when he was able to look after himself. I am not sure what this was about, but wonder if it is the same phenomenon that I have seen in older demented people- those that can recount in great detail what they were doing in 1949, but have no idea what they had for lunch?

Anyway, towards the end of 2009, I got word that Chris was not well, was in the hospital and was under hospice care. Within a couple weeks, he was dead, the second to die since Zach’s diagnosis. Todd did not look a whole lot better. He had become quite sedentary. It was this lack of mobility, I figure, that led to repeated bouts of pneumonia. Here is how it worked:  mom would get a call saying that Todd was sick, and had been taken to the hospital. Typically, he was pretty out of it, and unable to talk. At the hospital, he would receive intravenous fluids and antibiotics. He would get better, and within a few days be delivered back to the nursing home.

While I did not see him enough to observe, mom and brother Matt noticed that after recovery from each of these bouts, he would be progressively more disabled.


Published by bradleygillespie

I am just a guy with a disease called adrenomyeloneuropathy. I want other guys with the disease to see the good parts of disability. Not the gloom. Not the doom. Make sense?

One thought on “Cerebral Adrenomyeloneuropathy

Leave a comment